Comparative Immunohistochemical Detection of Caspase-3 Activation in Liver Biopsy Specimens of Patients with Mono and Mixed Infection
Keywords:
Apoptosis, Biopsy, Caspase-3, Immunohistochemistry, Mixed infection, Tuberculosis, Viral hepatitisAbstract
Background: Apoptosis is a genetically programmed form of a cell death that plays a major role in pathogenesis of chronic liver diseases. As Caspase-3 activation is required to produce apoptotic chromatin condensation and DNA fragmentation it is used in the study of apoptosis.
Subjects and methods: Liver biopsies of patients with heroin abuse and coinfection of tuberculosis, chronic hepatitis C, human immunodeficiency virus (TB, HCV, HIV) were investigated. For comparison liver biopsies of patients with chronic hepatitis B (HBV) were used. All biopsies were performed according to routine medical program, using standard Mengini procedure. Material was fixed in formalin, embedded in paraffin and cut 7 micrometers in thickness. For immunohistochemical detection endogenous peroxidase activity was blocked with 3% hydrogen peroxide and the sections were stained using Immunohistochemistry kit according to the manufacture’s guidelines. Cleaved Caspase-3 (Asp175) served as primary antibody. Biotinylated secondary antibody and streptavidin-conjugated peroxidase were used for detection using DAB as chromogen. Nuclei were counter stained with Harris Hematoxylin. Negative controls did not contain primary antibodies. In addition to the immunohistochemical study of Caspase-3 numerical score was established for each biopsy specimen both for grading of necroinflammatory activity (Knodell et al.) and stage of fibrosis (French METAVIR).
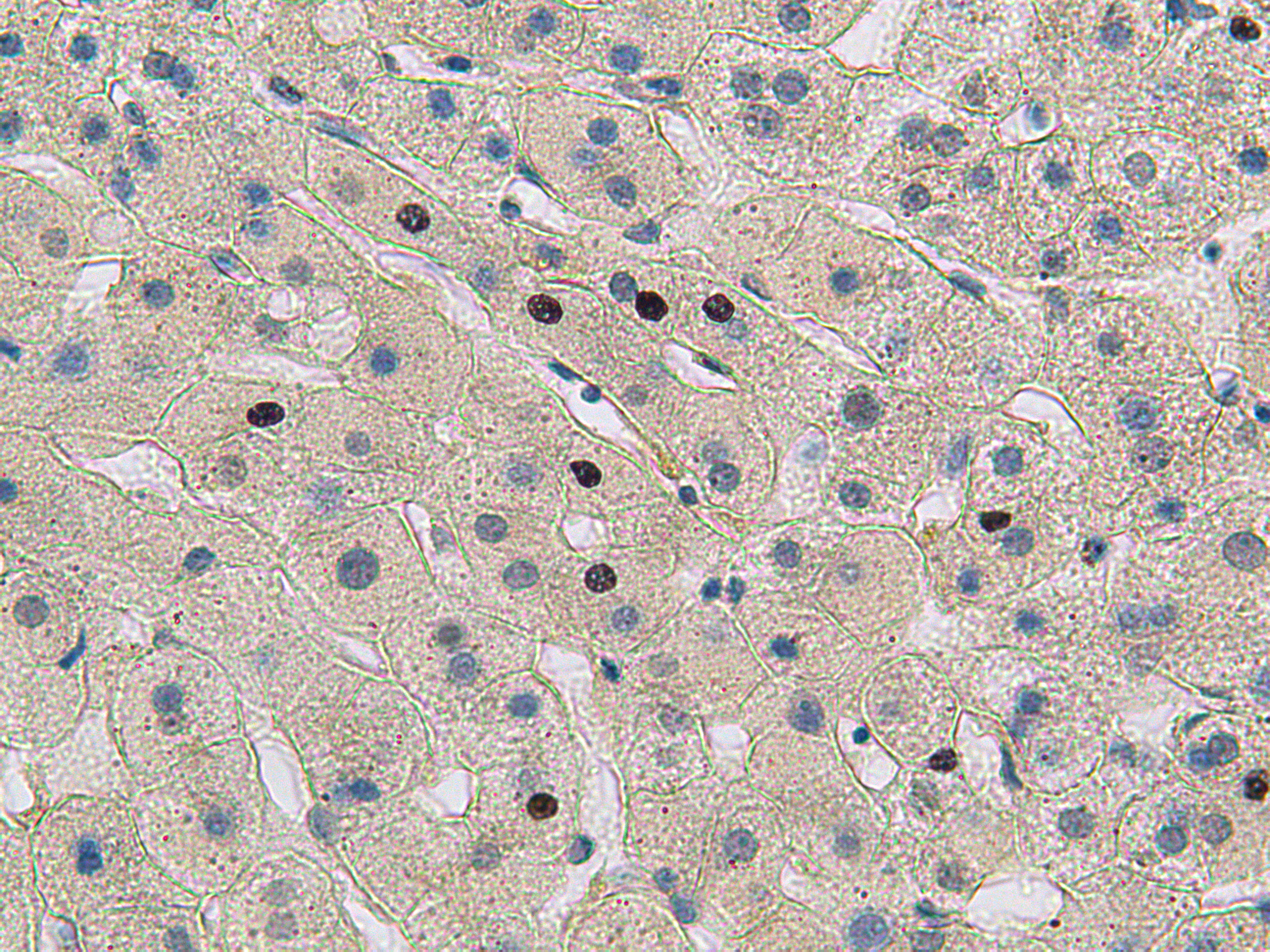
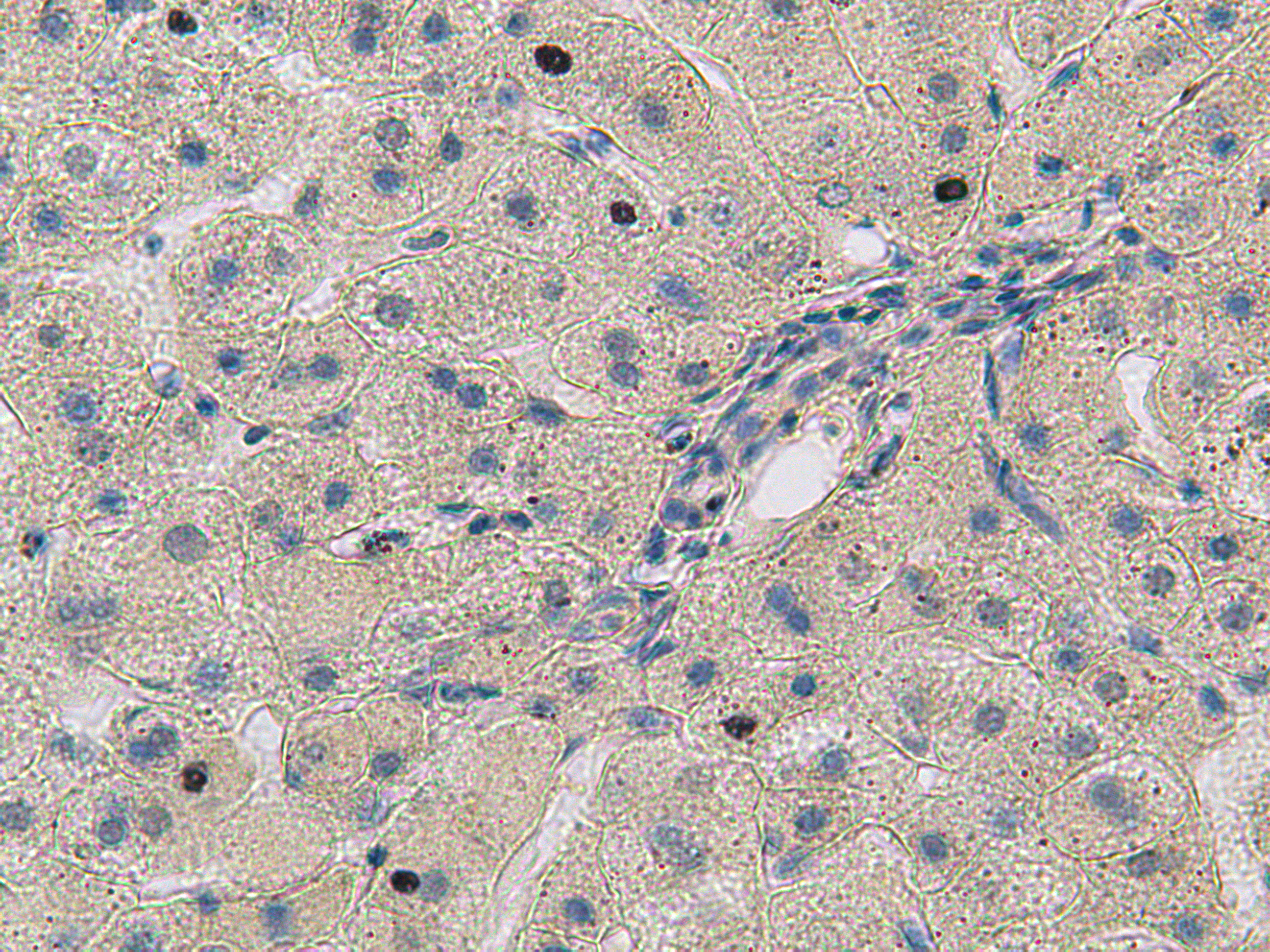
Results: Our investigation showed that positive reaction of Caspase-3 strongly varies in different liver biopsies; activation is revealed in nuclei and cytoplasm of hepatocytes and some Kupffer cells as well as in endotheliocytes of sinusoids. In portal tracts the activation occurs in some endotheliocytes of interlobular portal veins, in cells of lymphohistiocyte infiltrates. In liver biopsies of patients with coinfection the Caspase-3 expression was noticed in 30-50% of nuclei, whereas in liver biopsies of patients with HBV mono infection the index did not exceed 10%. Index of histological activity according to Knodell of patients with coinfection reached 12-15 balls, fibrosis stage according to METAVIR – F2; in patients with HBV these indexes were respectively 4 balls and F-1.
Conclusions: Our study demonstrated the expression of Caspase-3 was significantly higher in cases of chronic hepatitis with more severe histological necroinflammatory activity. Especially high activation of Caspase-3 was in liver biopsies of patients with coinfection and heroin abuse. Our results suggest high level of apoptosis in liver biopsies of such types of patients.
Â
References
Patel T. and Gores G.J., “Apoptosis and hepatobiliary diseaseâ€, Hepatology, vol. 21, pp. 1725-1741, 1995.
Jones B.A. and Gores G.J., “Phisiology and pathophysiology of apoptosis in epithelial cells of the liver, pancreas and intestineâ€, Am J Physiol Gastrointest Liver Physiol., vol. 273, pp. G1174 – G1188, 1997.
Calabrese F., Pontisso P., Pettenazzo E., Benvegnu L., Vario A., Chemello L., Alberti A. and Valente M., “Liver cell apoptosis in chronic hepatitis C correlates with histological but not biochemical or serum HCV-RNA levelsâ€, Hepatology, vol.31, pp. 1153-1159, 2000.
Otsuka M., Kato N., Taniguchi H., Yoshida H., Goto T., Shiratori Y., Omata M., “Hepatitis C virus core protein inhibits apoptosis via enhanced Bcl-xL expressionâ€, Virology, vol. 296, pp. 84-93, 2002.
Bantel H. and Schultze-Osthoff K., “Apoptosis in hepatitis C virus infectionâ€, Cell Death and Differentiation; vol. 10, pp. 48 – 58, 2003.
Malhi H. and Gores G.J., Apoptosis: Mechanism and Relevance in Liver Diseases. Mechanisms of liver injury in Schiff`’s Diseases, Wiley-Blackwell, USA, 2011.
Albertoni G., Armoni C.P., Moreira Latini F.R, Andrade S.S. et al. “Altered of apoptotic markers of both extrinsic and intrinsic pathways induced by hepatitis C virus infection in peripheral blood mononuclear cellsâ€, Virology Journal, vol. 9, pp. 314-322, 2012.
Piazzola G., Nuzzaci M., Vitti A., Napoli S.M., Piazzola P., Antonaci S., Tortorella C., “Apoptotic effects of a chimeric plant virus carrying a mimotope of the hepatitis C virus hypervariable region1: role of caspase and endoplasmic reticulum-stressâ€, J Clin immunol., vol. 32, pp. 866-876, 2012.
Lau J.Y.N., Xie X., Lai M.M.C. and Wu P.C., “Apoptosis and viral hepatitisâ€, Semin Liver Dis., vol.18, pp. 169-176, 1998.
Nalepa G.., Zukowska-Szczechowska E., “Caspases and apoptosis: die and let liveâ€, Wiad. Lec., vol. 55, pp. 100-106, 2002.
Thornberry N.A., Lazebnic Y., “Caspases: Enemies withinâ€, Science, vol. 28, pp. 1312-1316, 1998.
Shi Y., “Mechanisms of caspase activation and inhibition during apoptosisâ€, Mol Cel, vol. 9, pp. 459-470, 2002.
Brenne C. and Grimm S., “The permeability transition pore complex in cancer cell deathâ€, Oncogene, vol. 25, pp. 4744-4756, 2006.
Patel T. and Gores G.J., “Apoptosis in liver transplantation: a mechanism contributing to immune modulation, preservation inury, neoplasia, and viral diseaseâ€, Transplant Surg., vol. 4, pp. 42-50, 2000.
Rotonda J., Nicholson D.W., Fazil K.M., Gallant M., GarcauY., Labelle M., et al., “The three-dimensional structure of apopain/CPP32, a key mediator of apoptosisâ€. Nat Struct Biol, vol. 3, pp. 619-625
Fuentes-Prior P., Salvessen G.S., “The protein structures that shape caspase activity, specificity, activation and inhibitionâ€, Biochem J., vol. 384, pp. 201-232, 2004.
Janicke R.U., Sprengart M.L., Wati M.R. and Porter A.G., “Caspase-3 is reguired for DNA fragmentation and morphological changes associated with apoptosisâ€, J Biol Chem., vol. 273, pp. 9357-9360, 1998.
Hengartner M.O., “The biochemistry of apoptosis. Natureâ€, vol. 407, pp. 770-776, 2000.
Bantel H., Ruck P. and Schultze-Osthoff K., “In situ monitoring of caspase activation in hepatobiliary diseasesâ€, Cell Death Differ, vol. 7, pp. 504-505, 2000.
Bantel H., Lugering A., Poremba C., Lugering N., Held J., Domschke W. and Schultze-Osthoff K., “Caspase activation correlates with the degree of inflammatory liver injury in chronic hepatitis C virus infectionâ€, Hepatology; vol. 34, no (4 Pt 1), pp.758-767, 2001.
Bantel H., Ruck P., Gregor M., Schulze-Osthoff K., “Detection of elevated caspase activation and early apoptosis in liver diseasesâ€, EUR J Cell Biol vol. 80, pp.230-239, 2001.
Bantel H., Lugering A., Heidemann J., Volkmann X., Poremba C., Strassburg C.P. et al., “Detection of apoptotic caspase activation in sera from patients with chronic HCV infection is associated with fibrotic liver injuryâ€, Hepatology, vol. 40, pp.1078-1087, 2004.
Wieckowska A., Zein N.N., Yerian L.M., Lopez A.R., McCullough A.J., Feldstein A.E., Hepatology, vol. 44, no. 1, pp. 27-33, 2006.
Tokin I., Hussar P., Filimonova G., Jarveots T., Suuroja T. and Tokin I.I. “Features of the liver apoptosis in patients with chronic hepatitis C viral infection (HCV)â€, In the Proceeding of The 7th international Cell Death Society Symposium «Targeting cell death pathways for human diseases (Shanghai, China) , p. 127, 2008.
Hussar P, Tokin I, Filimonova G, Jarveots T, Suuroja T, Tokin I., “Hepatocyte apoptosis in chronic hepatitis C virus (HCV) infectionâ€, In Proceeding of 5th Biannual Scientific Conference «Baltic Morphology» Kaunas, Lithania, p.20, 2009.
Tokin I., Hussar P., Filimonova G., Hussar Ü., JÓ“rveots T., Suuroja T., Tokin I.I. “Features of liver apoptosis in chronic hepatitis C virus infectionâ€, Papers on Anthropology, vol. XYIII, pp. 361-371, 2009.
Tokin I. I., Tokin I. B.,Filimonova G. F., Hussar P. “Analysis of apoptosis and necrosis in the liver biopsies of patients with chronic hepatitis Câ€, In: Proceeding of the Conference “Actual problems of biology and medicine†(St. Petersburg), pp. 121-122, 2010 .
Tokin I. I., Tokin I. B.,Filimonova G. F., Hussar P., “Analysis of apoptosis in liver biopsies of patients with chronic hepatitis Câ€, Russian Journal of Gastroenterology, Hepatology, Coloproctology, vol. 20, no.1, p. 49, 2010.
Tokin I. I., Tokin I. B.,Filimonova G. F., Hussar P. “Immunohistochemical analysis of apoptosis in liver biopsies of patients with chronic hepatitis Câ€, Morfologiia, vol. 137, no. 4, p. 190, 2010.
Tokin I., Hussar P., Filimonova G., JÓ“rveots T., Hussar Ü., Suuroja T., Tokin I.I., “Liver apoptosis in chronic hepatitis C virus infectionâ€, Health, demography, ecology of finno-ugric peoples, vol. 2, pp. 39-42, 2010.
Tokin I.I, Hussar P., Tokin I.B., Filimonova G., JÓ“rveots T., Jhuravskaya M., “Immunohistochemical evaluation of expression of Bcl-2 protein in chronic viral hepatitis Bâ€, Bulgarian journal of veterinary Medicine, vol. 15, no. 1, p. 66, 2012.
Knodel R.G., Ishak K.G., Black W.C. et al., “Formulation and application of a numerical scoring system for assessing histological activity in asymptomatic chronic active hepatitisâ€, Hepatology, vol. 1, pp. 431-435, 1981.
French METAVIR Cooperative Study Group, “Intraobserver and interobserver variations in liver biopsy interpretation in patients with chronic hepatitis Câ€, Hepatology, vol. 20, no. 1(Pt1), pp. 15-20, 1994.
Patel T., Steer C. and Gores G.J., “Apoptosis and the liver: a mechanism of disease, growth regulation, and carcinogenesisâ€, Hepatology, vol. 30, pp. 811-815, 1999.
Richard A. and Tulasne D., “Caspase cleavage of viral proteins, another way for viruses to make the best apoptosisâ€, Cell Death and Disease, vol. 3, p. e277, 2012.
Fischer R., Baumert T., Blum H.E., “Hepatitis C virus infection and apoptosisâ€, World J Gastroenterol,vol. 13, no. 36, pp. 4865-4872, 2007.
Piekarska A., Kubiak R., Omulecka A., Szymczak W., Piekarski J., “Expression of tumor necrosis factor-related apoptosis inducing ligand and caspase-3 in relation to grade of inflammation and stage of fibrosis in chronic hepatitis Câ€, Histopathology, vol. 51, no. 5, pp. 597-604, 2007.
Sarfraz S., Hamid S., Siddiqui A., Hussain S. Pervez S., Alexander G., “Altered expression of cell cycle and apoptotic proteins in chronic hepatitis C virus infectionâ€, BMC Microbiology, vol. 8, pp. 133-138, 2008.
Salama H., Medhat I., El-Makhzangy H., El-Deen H.G., Rashed L. , Med. J Cairo Univ. , vol. 77, no. 4, pp. 237-242, 2009.
Ghanam Maged El; Nawal El Badrawy; Olfat Hammam; Moataz Hassan; Amgad Anas; Mohamed El Talkawy and Abdel Aziz Ali., “Tissue Expression of PCNA and Caspase 3 in the Liver in Patients with Chronic Hepatitis, Cirrhosis and Hepatocellular Carcinomaâ€, Life Sci J., vol. 9, no. 2, pp. 1088-1097, 2012.
Mc Partland J., Guzail M., Kendall C. and Pringle J., “Apoptosis in chronic viral hepatitis parallels histological activity: an immunohistochemical investigation using anti-activated caspase-3 and M30 Cytodeath antibodyâ€, Int J Exp Pathol., vol. 86, no. 1, pp. 19-24, 2005.
Tokin I. I., Tokin I. B.,Filimonova G. F., Hussar P. “Immunohistochemical analysis of apoptosis in liver biopsies of patients with chronic hepatitis Câ€, Morfologiia, vol. 137, no. 4, p. 190, 2010.
Tokin I., Hussar P., Filimonova G., JÓ“rveots T., Hussar Ü., Suuroja T., Tokin I.I., “Liver apoptosis in chronic hepatitis C virus infectionâ€, Health, demography, ecology of finno-ugric peoples, vol. 2, pp. 39-42, 2010.
Kronenberger, Ruster B, Lee J.H., Sarrazin C., Roth W.K., Hermann G. and Zeuzem S., “Hepatocellular proliferation in patients with chronic hepatitis C and persistently normal or abnormal aminotransferase levelsâ€, J Hepatol. 33, pp. 640-647, 2000.
Kountouras J., Zavos C., Chatzopoulos D., “Apoptosis in hepatitis Câ€, Journal of Viral Hepatitis, vol.10, pp. 335-342, 2003.
Downloads
Published
Issue
Section
License
- Papers must be submitted on the understanding that they have not been published elsewhere (except in the form of an abstract or as part of a published lecture, review, or thesis) and are not currently under consideration by another journal published by any other publisher.
- It is also the authors responsibility to ensure that the articles emanating from a particular source are submitted with the necessary approval.
- The authors warrant that the paper is original and that he/she is the author of the paper, except for material that is clearly identified as to its original source, with permission notices from the copyright owners where required.
- The authors ensure that all the references carefully and they are accurate in the text as well as in the list of references (and vice versa).
- Authors retain copyright and grant the journal right of first publication with the work simultaneously licensed under a Attribution-NonCommercial 4.0 International that allows others to share the work with an acknowledgement of the work's authorship and initial publication in this journal.
- Authors are able to enter into separate, additional contractual arrangements for the non-exclusive distribution of the journal's published version of the work (e.g., post it to an institutional repository or publish it in a book), with an acknowledgement of its initial publication in this journal.
- Authors are permitted and encouraged to post their work online (e.g., in institutional repositories or on their website) prior to and during the submission process, as it can lead to productive exchanges, as well as earlier and greater citation of published work (See The Effect of Open Access).
- The journal/publisher is not responsible for subsequent uses of the work. It is the author's responsibility to bring an infringement action if so desired by the author.